Natural Ways to Lower Your Blood Pressure
Natural Ways to Lower Your Blood Pressure: Blood pressure is that the unit at which blood moves from the heart to...
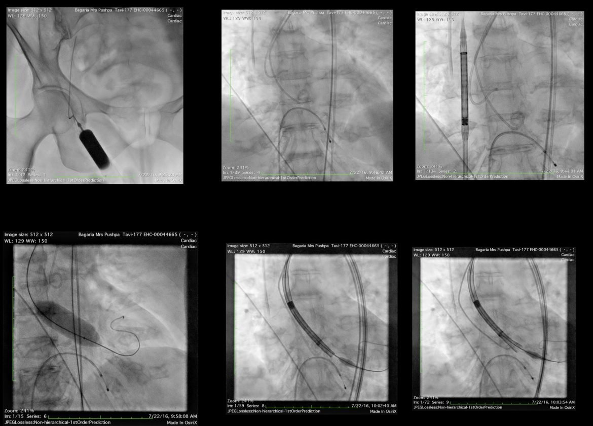
Dear All, It gives us immense pleasure to share that Dr. Ravinder Singh Rao was invited to AIIMS, New Delhi, to perform the first TAVI case of AIIMS. The procedure was done successfully without complications, and the patient was discharged on 3rd day. We would like to share this historical moment with you all. AIIMS is a premier institute in the country. Dr. Rao has the highest experience of TAVI with the safest outcome in the country.



RHL Hospital
If a person experiences abrupt chest discomfort, chest pain, and pain in the jaw, shoulders, and up to the navel, he or she should seek medical attention immediately since it could be a heart attack.
A first ‘Chest Pain Click’ to be handled on the mobile number 9828888806, has been established at Rajasthan Hospital in the state capital to protect the heart with the correct treatment at the right time. Here patients or their families related to chest pain can contact anytime within twenty-four hours.
Any such patient can call the clinic from any village or town to seek assistance, and the Hospital’s cardiac expert will guide the patient to follow some instructions, and if necessary, a well-equipped ambulance will be rushed to the patient’s home, Dr. Ravinder Singh Rao, head, RHL heart center, said at a press conference here yesterday.
Dr. Ravinder Singh Rao is the Chief Interventional Cardiologist, Angioplasty expert in Jaipur. He is well known for his contributions to the field of cardiology.
Lifestyle changes have induced lots of physical and mental stress in our daily lives, which led to many heart problems in our country. Recently, the number of heart-related issues has increased in India, making it the new capital of Heart attacks.
Dr. Ravinder provides the best heart disease treatment to patients with heart diseases such as heart attacks, Coronary Artery Diseases, Angina, etc. He is a chief Interventional Cardiologist, Angioplasty expert, complex angioplasty expert, and structural heart diseases expert in India and is currently working at RHL Heart Centre.
Dr. Ravinder has particularized in performing complex angioplasties, which include the preface of blood vessels with the help of stents and rotablation. He can effectively perform various complex procedures without opening the chest with full efficacy and has saved countless lives.

Chief Interventional Cardiologist
Chairman, RHL Heart Center
Cutting-edge Treatment & Revolutionary Procedure
It is the latest milestone in the field of interventional cardiology. This TAVR technique includes the alternate or implantation of an aortic valve with a new biological valve without even open heart surgery.
It is a catheter-based nonsurgical procedure to treat leaky mitral valves. It is also called mitral regurgitation. It clips the leaky segment of the valve and treats the leak when the heart valve closes.
Paravalvular leak refers to a leak following the surgical aortic valve replacement. It is a leak from the side of the new valve due to a suture breakdown.

We all remember you with gratitude for saving Sarita Singh through your skilled TAVR procedure. We are currently in California and continue to remember your capable care with heartfelt thanks.
Natural Ways to Lower Your Blood Pressure: Blood pressure is that the unit at which blood moves from the heart to...
In regard to heart health, the choice of a specialist is critical. Dr. Ravinder Singh Rao is a cardiologist and...
Are you looking for a top cardiac care in India? Look no further than Dr. Ravinder Singh Rao, he is the best...
10:00 AM- 7:00 PM
A-791, Bandra Reclamation, Bandra (W),
Mumbai – 400050. India
10:00 AM to 7:00 PM


Mr Khanna from Chennai, who came to Jaipur for TAVR. It was a pleasure to see him in Chennai.
| Date | Hospital | Place |
|---|---|---|
| 08-May | Jakarta Hospital | Jakarta |
| 10-May | Jaslok Hospital | Mumbai |
| 10-May | Jaslok Hospital | Mumbai |
| 15-May | Sri Jayadeva Bangalore | Bangalore |
| 15-May | Sri Jayadeva Bangalore | Bangalore |
| 13-May | Srilanka | Srilanka |
| 14-May | Durdans Hospital | Srilanka |
| 16-05-2019 | EHCC Hospital | Jaipur |
| 19-05-2019 | GKNMH | Tamil Nadu |
| 25-05-2019 | Manipal Hospital | Delhi |
| 25-05-2019 | PSRI Hospital | Delhi |
| 28-05-2019 | EHCC Hospital | Jaipur |
| 29-05-2019 | SRI Chitra | Trivandrum |